Blog
Get all the latest news!
Call us on 4625 4897
Blog
Get all the latest news!
Call us on 4625 4897
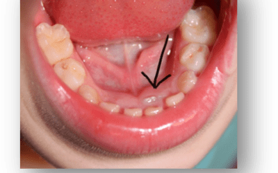
Lower Incisor Crowding
It can be exciting for children to start getting their first wriggly teeth. It will be the lower front teeth in the middle, usually between 5-6 years old. But to the concern of many parents, they have a look only to see the adult incisors coming up on the inside of...
Sugars In Foods
We all know that sugars can be harmful to teeth and our general health. Yet if you walk into a supermarket, you may be surprised how many food or beverages are laden with added sugars. 'Added sugars' are, as the name suggests, sugars which are added to a food or...
Brace yourself: When should my child see an orthodontist?
A common question I’m asked by parents is ‘Does my child need braces?’ or ‘When should my child see an orthodontist?’ During dental check-ups for children, I routinely check for mal-positioned teeth, crowded teeth and missing teeth which may be caught behind or...
The Tooth Fairy Visits Campbelltown
The Tooth Fairy flew in for a visit to see our lovely patients on the 19th April 2017. She is a fantastic visitor to our surgery, always smiling and helpful. She took time out of her busy schedule of collecting teeth, to visit some of her favourite little people....
Celebrating Easter in South West Sydney – Family Dental Care Campbelltown
Family Dental Care celebrated Easter with all of our lovely patients. We gave every patient who attended their appointment a gift wrapped gingerbread cookie, as our way of saying "Thankyou" for your support. This gingerbread cookie is made from a historic family...
Which Toothbrush Should I Use?
Which toothbrush should I use? Manual? or Electric? Many patients ask about which type of toothbrush to use, the answer is… it depends! Here is why: Between brushing, naturally occurring bacteria multiply on the surface of your teeth. This is often called plaque....
ANZAC Day 2018 – The Importance Of Dentistry
Army dentistry in the past 100 years WORLD WAR IWhen WW1 was declared in August 1914 and the Australian government decided to send troops to Europe, some dentists volunteered, but the defence forces did not see the need for a dental corps. The first record of an...







